奈良の富雄にある歯医者【奈良西デンタルクリニック】一般歯科・小児歯科・矯正歯科・ホワイトニング・無痛インプラント

一般歯科診療では、一般的な虫歯や歯槽膿漏の治療、および歯牙欠損部の補綴を主とする診療を行います。患者様にとって、最も多く治療を受けている内容が、この一般歯科診療にあたります。
虫歯の治療や歯周病の予防をはじめ、急に歯が痛み出した、昔治療したかぶせが取れてしまった等、急に発生したお口の中のトラブルまで、気になる点はいつでもご相談ください。患者様とコミュニケーションをとりながら、なるべく痛くない最適な治療法で素早く確実に対処させていただきます。



【e-maxクラウン】とは、 新しいタイプのセラミックス IPS e.max CADブロック(イボクラール ビバデント社)を使用し、エベレストCAD/CAMにて製作するオールセラミックスクラウンです。ニケイ酸リチウムの微細構造の変化により曲げ強度は通常のセラミックスの約4倍(400MPa)まで達し、また、最適なシェード、半透明性や明度を兼ね備えています。
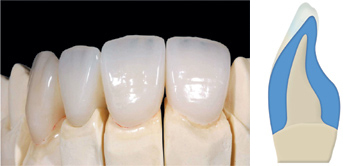
ベニアタイプ

【ベニアタイプ】は、エベレストCAD/CAMシステムで削り出したIPS e.max CADブロックのインサイザル部にべニアリングすることにより、高い審美性を持った修復物の制作が可能です。
<適応症例>・・・前歯部/単冠
ステインタイプ

ブリッジタイプ

【ブリッジタイプ】従来の製作法では出来なかったブリッジの症例も新材料(e.max Press)を使用したプレス法の導入により、3本ブリッジまでの製作が可能になりました。
<適応症例>・・・小臼歯までの3本ブリッジ

人工ダイヤモンドと言われる「ジルコニア」で製作するクラウンです。ジルコニア自体の色合いにエナメル質に近い透明感を付与しているために自然感があり、臼歯部に使用します。
セラミックのなかでも一番優れた審美性・耐久性を誇ります。ジルコニアには身体に優しい素材が用いられており、保険適用の銀歯のように金属イオンが体内に流出する危険性がありません。
従来のセラミックのデメリットを克服した素材として、審美歯科治療において最も注目を集めています。
ジルコニア冠の優れた特性
●金属よりも硬く、天然ダイヤに次ぐモース硬度があります。
●光の透過性が高いため、透明感のある審美的に優れた歯を作れます。
●強度を補う金属の裏打ちの必要がないため、透過性を最大限に生かせます。
●曲げ強度、応圧に優れた、極めて破損を起しにくいセラミックです。
●応力誘起相変体強化機構によって、クラックを自己修復する特徴があります。
●生体親和性が高く、体にやさしい歯科材料です。
●金属アレルギーを起こさない、メタルフリーの治療が可能です。
●耐熱性、耐久性、耐腐食性が極めて高い材料です。
次のような症例のある方に、ジルコニア冠はおすすめです
●美しくて、強度が強くて耐久性も優れた白い歯をいれたい方
●前歯を以前メタルボンドにしたが、歯茎がさがって黒い金属色が気になっている方
●オールセラミックにしたいが、歯ぎしりやかみあわせが強くて割れるかどうか心配な方
●いまある最高品質のセラミックをいれたい方
●いまある銀歯を白くしたいと考えられている方
●ブリッジをいれる必要があるが、審美的にも強度も優れたものにしたい方
●金属アレルギーのある方
自費は定期的な検診(3か月に1回)を受けている事
3年保障・5年保証 について
次のような場合、補償期間内であっても補償の対象とはなりませんのでご注意ください。
①3か月に一度の定期検診に来院されなかった場合
②取り外しできる形のもの(義歯等)を、紛失された場合、仮付けの時
③取り外しできる形のもの(義歯等) を、落下や自分で調整をして変形させてしまった場合
④けがや、交通事故などによる紛失、不具合
⑤不具合を放置されたために新規に作り直しを要する場合
補償内容は素材などにより異なりますので、詳細は上記をご参照ください。
| ●3年保障について | |
|---|---|
| 0~6か月 | 100%補償 |
| 6か月~12か月 |
80%補償 |
| 12か月~18か月 | 60%補償 |
| 18か月~24か月 | 40%補償 |
| 24か月~30か月 | 20%補償 |
| 30か月~36か月 | 10%補償 |
| ●5年保障について | |
|---|---|
| 1年 |
100%補償 |
| 2年未満 | 80%補償 |
| 3年未満 | 60%補償 |
| 4年未満 | 40%補償 |
| 5年未満 | 20%補償 |


メタルインレー
保険治療

ゴールドインレー
保険外治療
40000円+TAX

硬質レジンインレー
保険外治療
30000円+TAX

ポーセレンインレー
保険外治療
50000円+TAX

メタルクラウン
保険治療

ゴールドクラウン
保険外治療
50000円+TAX

硬質レジン
ジャケットクラウン
保険外治療
60000円+TAX

ポーセレン
ジャケットクラウン
保険外治療
80000円+TAX

硬質レジンクラウン
クラウン・保険外治療
60000円+TAX

硬質レジンクラウン
(ジャケット)
ハイブリッドクラウン・
保険外治療
60000円+TAX

ポーセレンクラウン
(ジャケット)
メタルボンドクラウン・保険外治療
80000円+TAX
フルベイク
100000円+TAX


左のQRコードを携帯電話で読み込んで、会員登録してください♪
QRコードを読めない機種の方は、コチラから会員登録をお願いします。



奈良西デンタルクリニックの院内施設と、優秀なドクターをご紹介。
奈良西デンタルクリニックからのお知らせや最新の歯科情報・診療情報などをご紹介いたします。
時間はわずか15分~20分。注射針を一切使用しないヒアルロン酸導入セラピーを行います。